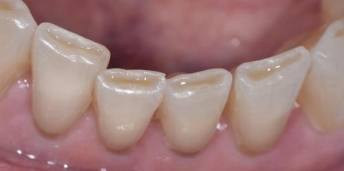
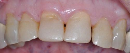
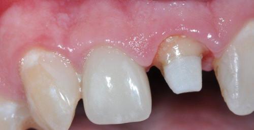
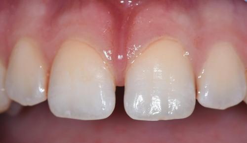
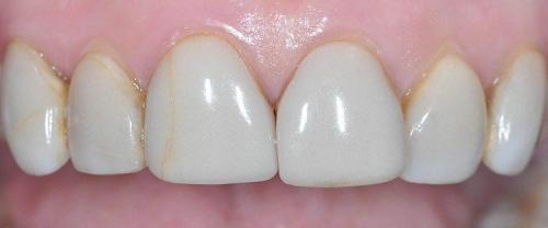
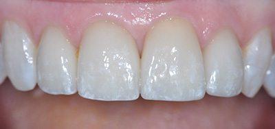
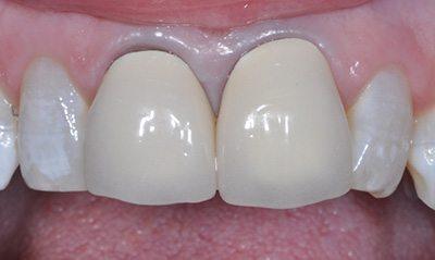
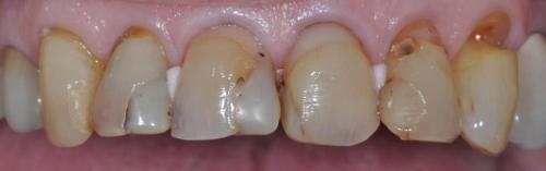
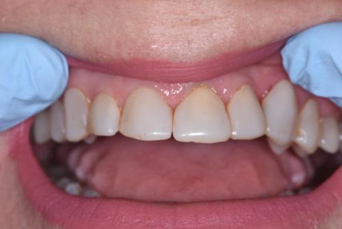
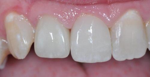
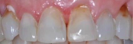
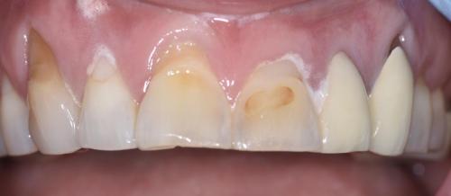
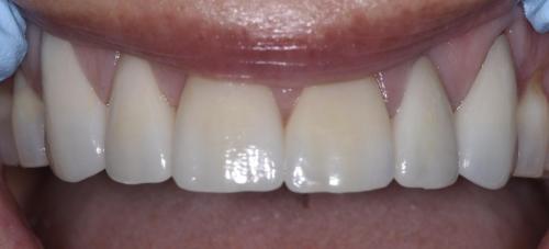
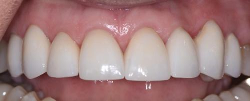
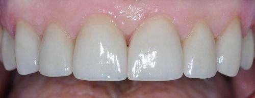
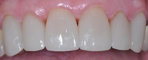
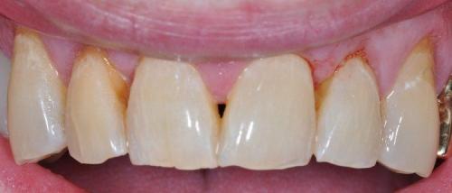
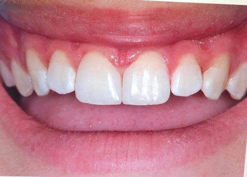
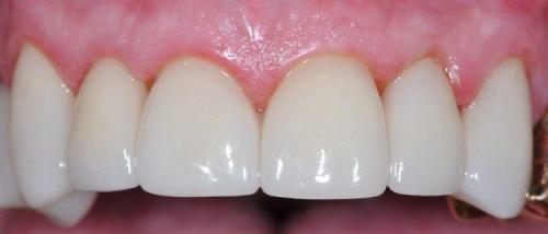
DR. BATLLE’S MAKEOVERS Actual SWFD Patients PATIENT BEFORE TREATMENT PATIENT AFTER TREATMENT PATIENT BEFORE TREATMENT PATIENT AFTER TREATMENT PATIENT BEFORE TREATMENT PATIENT AFTER TREATMENT PATIENT BEFORE TREATMENT PATIENT AFTER TREATMENT PATIENT BEFORE TREATMENTFront teeth restored with resins. PATIENT AFTER TREATMENTNo local anesthetic needed! PATIENT BEFORE TREATMENT PATIENT AFTER TREATMENT PATIENT BEFORE TREATMENT PATIENT AFTER TREATMENT PATIENT BEFORE TREATMENT PATIENT AFTER TREATMENT PATIENT BEFORE TREATMENT PATIENT AFTER TREATMENT MALE PATIENT BEFORE TREATMENT MALE PATIENT AFTER SIX ALL-CERAMIC CROWNS DISCOLORED RESIN VENEERS PATIENT MISSING CROWN FROM FRONT TOOTH FEMALE PATIENT BEFORE TREATMENT EMAX ALL CERAMIC CROWNS FRONT TOOTH RESTORED WITH ALL-CERAMIC CROWN FEMALE PATIENT AFTER SIX ALL-CERAMIC CROWNS PATIENT BEFORE TREATMENT PATIENT AFTER TREATMENT PATIENT BEFORE TREATMENT PATIENT AFTER TREATMENT